Treating Class 3 Malocclusions with Zirconia Crowns

Can I treat patients with class-three malocclusions using prefabricated zirconia crowns?
Class-three occlusions can be challenging, but with a little planning, you can restore your patients’ teeth to their natural appearance, even in cases where patients continue to exhibit a cross-bite.
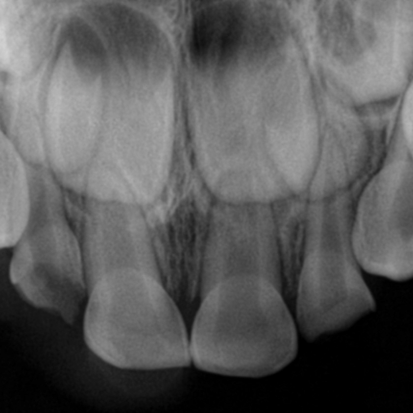
Patients with class-three malocclusions commonly present some of the most challenging cases we see. Often their occlusions also are complicated by deep underbites or crossbites leading to frequent fractures in restorative materials such as composite crowns when they are used as part of the treatment.

Due to Zirconia’s strength and superior esthetics, Zirconia crowns are often the best and most reliable choice to use in restoring these challenging cases. The first thing to consider when planning treatment to restore an anterior tooth in a patient with cross-bite is whether the case is a dental or skeletal class-three malocclusion. This determination will dictate the course of treatment. Let me explain.
If you are treating a true skeletal class-three case, you will want to prepare the tooth mostly on the facial surface. This will allow the crown to seat far enough lingually for it to clear the lower incisors when the child bites into maximum intercuspation.
If, however, the patient has a mildly trapped dental class-thee occlusion and you feel you might be able to correct the situation by crowning the anterior incisors, you will want to prepare the tooth mostly from the lingual side. This will allow you to flair the crown labially when seating. Often it proves helpful to adjust the incisal edges of the lower incisors, in many cases thus allowing for the anterior upper and lower teeth to meet end to end.


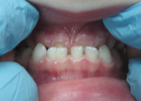
Evie returned to my office for her post-op visit two weeks later. She and her mother were thrilled with the results. Evie hopped right up in the chair and showed me her “new” teeth. It has now been over six weeks since her restorations were placed, and Evie’s mother says, ‘My daughter is so proud of her teeth and shows them off every chance she gets! We are all so amazed with Evelyn’s results, especially Evelyn! She is constantly showing everyone how great her teeth look and how proud she is.’



